蔡司ART 5.0重磅來襲,重塑X射線顯微成像的智能體驗
瀏覽次數:2972 發布日期:2025-3-12
來源:蔡司顯微鏡
新品發布 | 蔡司ART 5.0重磅來襲,重塑X射線顯微成像的智能體驗!
科技無界,探索不止。蔡司高級重構工具箱ART 5.0版本正式發布,以三大核心突破重新定義X射線顯微鏡(VersaXRM)的成像邊界,為您開啟前所未有的智能成像體驗!
*ART全稱為:Advanced Reconstruction Toolbox
更清晰:DeepRecon Pro ImageClarity™,細節盡顯
告別噪點困擾,迎接極致清晰!
全新DeepRecon Pro ImageClarity™通過深度學習算法,在降噪的同時完整保留關鍵特征。無論是微納米級結構,還是材料內部缺陷,細微特征纖毫畢現。

金屬泡沫實測結果展示,圖像來源:紐約大學坦登工程學院Nikhil Gupta教授

地質砂巖實測結果展示
藥片實測結果展示
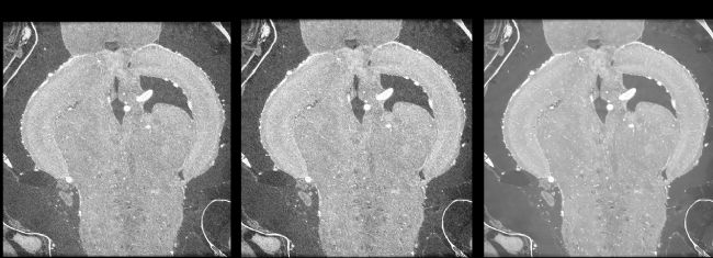
斑馬魚腦實測結果展示

C4 Bumps實測結果展示
內置「圖像差異對比」功能,一鍵切換比對標準重建與AI優化結果,確保去噪不丟細節,讓每一份數據都經得起推敲。
(a) 標準圖像;(b) DeepRecon Pro ImageClarity 圖像;(c) 測試:使用正確模型去除噪聲;(d) 去除特征:選擇了不正確的模型。
更精準:ROI訓練+AI引擎,成像偏差精準消除
ART 5.0首次實現「感興趣區域(ROI)訓練」功能,支持為DeepRecon Pro和DeepScout定制專屬模型。通過聚焦關鍵區域,系統智能識別并消除背景干擾與成像偏差,讓圖像細節更加精準。
從訓練數據中排除不需要的區域(黃色高亮部分)
搭配新一代AI運算引擎,重構效率大幅提升,復雜樣本處理時間顯著縮短,助您快速獲取高質量成像結果!
更高效:透明模型管理,多端協同作業
ART 5.0以智能化管理為核心,為您提供更高效的實驗體驗。
·可視化的模型數據庫:一站式管理所有訓練模型,關鍵參數、應用場景一目了然,快速調用已有模型;
·多平臺同時接入:全新架構支持多設備協同,多端進行模型訓練和數據重構列隊,效率倍增;
·重構服務器狀態監控:實時監控多客戶端任務隊列,實驗室資源智能調度,徹底告別「重建擁堵」。
經典功能回顧
結語:
蔡司高級重構工具箱ART自發布以來,始終致力于幫助不同領域的客戶提升成像效率與質量,此次迎來ART 5.0版本,不僅是蔡司X射線顯微成像技術的又一次自我突破,更是智能化成像時代的嶄新起點。
探索無限可能,智領未來前沿——蔡司ART 5.0,與您一同重塑科研新高度!
立即體驗,開啟您的智能成像之旅!