好消息--IPHASE體外染色體畸變試劑盒推出新版本啦!
瀏覽次數:1909 發布日期:2023-8-4
來源:本站 本站原創,轉載請注明出處
1 體外染色體畸變試驗介紹
染色體是真核細胞在有絲分裂或減數分裂時DNA存在的特定形式,是細胞核中遺傳物質的主要載體,由染色質螺旋纏繞,逐漸縮短變粗形成。在細胞分裂中期,所有染色體以其濃縮形式在細胞中心排列,通常在顯微鏡下可觀察到染色體的特定形態。
體外染色體畸變試驗便是基于中期染色體的特性而建立起來的一項致突變性試驗,用于檢測體外細胞染色體畸變,以評價受試物致突變的可能性。體外細胞染色體畸變試驗是在有和無代謝活化條件下,將細胞培養物暴露于受試物一定時間,并經過有絲分裂中期相阻斷劑處理、細胞收獲、制片染色,分析中期相細胞的染色體結構畸變,從而評估受試物的致突變作用,廣泛應用于農藥、食品、化妝品和藥品等的安全性評價。

正常中期分裂相染色體

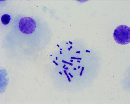
三輻體

雙著絲粒

斷裂

環狀
2 IPHASE體外染色體畸變試劑盒
2.1 試劑盒介紹
中國倉鼠肺細胞(CHL),易在體外建立細胞系,便于控制試驗條件,重復性好,自發突變率低,染色體數目正常時非突變型為25條,便于分析,是進行染色體畸變試驗常用細胞。IPHASE/匯智和源綜合公司多年的研發經驗和在遺傳毒理學研究方面的實踐經驗,以中國倉鼠肺細胞CHL作為試驗系統,將開展體外染色體畸變試驗的主要試劑和細胞整合在一起,推出了體外染色體畸變試劑盒,試劑盒各組成成分均經過嚴格的質量檢測,實驗結果準確、可靠、重現性好,適用于多個領域的體外染色體畸變研究。
l 便捷性 省去誘導S9制備、試劑配制時間,可以直接使用,大大縮短了實驗周期。
l 準確性 試劑盒各成分均經過嚴格的質量檢測,實驗結果準確、可靠、重現性高。
l 穩定性 本試劑盒穩定性強、易于運輸和保存。
l 應用廣 應用范圍廣,可用于食品、化學品、農藥、消毒劑、食品添加劑、化妝品、等多個方面的遺傳毒理學檢測。
2.2 新、舊版試劑盒比較
IPHASE以各領域染色體畸變試驗的國家標準和指導原則為技術指導,以客戶在使用試劑盒過程中反饋的意見為優化方向,經過不斷的驗證和測試,近期特推出新版本的體外染色體畸變試驗試劑盒,滿足各領域的試驗需求。新版本的試劑盒針對產品組成、規格、使用方法等多方面進行優化,使用更簡單、便捷。
①產品規格
•從20test增加至30Test。
• 可滿足短時間和長時間染毒需求。
②產品組成
• 增加了吉姆薩染色試劑。
• 增加了制品過程所需耗材和試劑。
③使用說明
• 試劑盒使用方法更加詳細。
• 增加了關鍵點把控和試驗注意事項等內容。
3 相關產品
產品描述 規格
標準Ames試驗試劑盒 100/150/200/250 dishes
Mini-Ames試驗試劑盒 6孔板*24板/6孔板*40板
Micro-Ames試驗試劑盒 24孔板*6板/24孔板*10板
微量波動Ames試驗試劑盒 16*96 wells/4*384 wells
Ames Ⅱ試驗試劑盒 16*96 wells/4*384 wells
Ames菌株鑒定試劑盒 2 Tes
TK基因突變試劑盒(L5178Y) 36 Test
HGPRT基因突變試劑盒 36 Test
體外染色體畸變試驗試劑盒 30 Test
體外微核試驗試劑盒 32 Test
彗星試驗試劑盒 20/50 Test
IPHASE/匯智和源憑借多年的研發經驗,推出了多領域、多種類的高端科研試劑,為藥物早期研發提供篩選工具,為生命科學領域的探索提供新材料、新方法和新手段,為遺傳毒性研究提供便捷產品。此外,IPHASE/匯智和源可提供特殊產品的定制服務,望廣大科研工作者來電咨詢,咨詢熱線400-127-6686。