EVIDENT邀您分享顯微圖像作品,將更多愛意傳遞
瀏覽次數:2798 發布日期:2023-2-14
來源:本站 本站原創,轉載請注明出處
在我們無法用人眼看見的微觀世界里,細胞們也在用著自己獨特的方式表達愛意,努力為我們展現出肉眼無法輕易發現的“浪漫”。

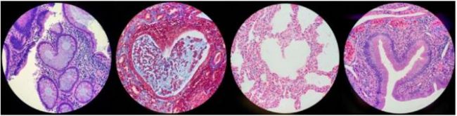
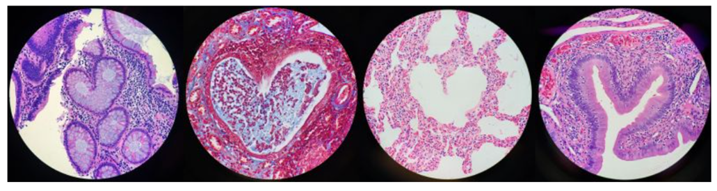
很多人喜歡幻想性錯覺這一概念:在不相關的物體或圖案中看到熟悉的物體或形狀。在上圖中我們看到了一系列H&E染色,其愛心模樣很適合春意盎然的今天。這些美麗的樣本包括人類結腸、狗子宮、山羊肺和蜥蜴的胃腸道 (GI)。
以上的“愛心”顯微圖像承蒙Kate Murphy提供,使用奧林巴斯BX系列顯微鏡拍攝。BX系列將人機工程學和前沿光學技術相結合,著力打造出BX53(LED)、BX43和BX46等經典顯微鏡。幫助您在長時間使用和適應快速、高效觀察成像的直觀控制界面操作中均保持舒適性。針對實驗室和臨床應用設計的白光LED,具有高亮度和高色彩還原性,使您能觀察到樣品本身的真實色彩。

俗話說:“人不可貌相,海水不可斗量”。我們都追求的“內在”之美,在下面這段令人印象深刻的視頻中展示得淋漓盡致。這段視頻和描述由Adolfo Sánchez-Blanco博士提供,在奧林巴斯CX系列顯微鏡上以高達400倍的倍率拍攝,展現了一朵花的花莖表皮細胞以及獲取圖像的過程,建議點擊全屏觀看視頻。

“表皮組織中嵌入有氣孔。氣孔可以存在于花莖和植物的其他部分(不僅僅是在葉子中)。氣孔是植物用來吸收二氧化碳和釋放氧氣的孔隙。也就是說,氣孔是植物用來“呼吸”的孔隙。我在視頻開始時使用的液體是蒸餾水。蒸餾水有助于保持樣品細胞的滋潤性。水和蓋玻片也可通過避免不良的光反射來增強圖像的效果。”Adolfo Sánchez-Blanco博士向我們這樣說明。
奧林巴斯CX系列顯微鏡包含CX33、CX43等機型,將舒適性貫穿于常規顯微觀察的每一刻,小調整即能長久維持優良的觀察狀態,擴展應用依然維持良好的舒適性。
自2019年成功舉辦三屆全球顯微圖像大賽以來,我們有幸欣賞到了來自全球60多個國家,近2000位顯微鏡用戶分享的微觀之美。我們始終堅持著鼓勵更多來自全世界的科學工作者,從全新的角度來看待科學圖像,欣賞它們的生命之美,并與他人一同分享。

目前,EVIDENT第四屆全球顯微圖像大賽還在火熱進行,即日起至2月28日,點擊"閱讀原文”或識別下方參賽二維碼,上傳分享您的顯微圖像,將更多的愛意傳遞!更多關于圖像大賽獲獎作品背后的故事,請點擊以下鏈接查看:

細微之愛,無處不在。祝大家情人節快樂,勇敢表達愛!