環亞生物攜新品參展第七屆中歐生物材料(CESB 2019)
瀏覽次數:6258 發布日期:2019-5-16
來源:本站 本站原創,轉載請注明出處
2019年5月10日至13日第七屆中歐生物材料大會在華南理工大學大學城校區成功舉辦。本屆會議以“創新與合作”為主題,內容覆蓋15個前沿專題,包括用于組織修復與再生的各種新型生物材料、納米材料與納米醫學、藥物遞送與載體、免疫療法、生物影像與分子探針等。全球20余個國家和地區相關領域的院士專家逾300人參會。
會上,環亞公司展出的Regemat 3D生物打印解決方案和Grundium Ocus便攜式數字掃描顯微成像系統引起廣泛關注。

圖A. 與會科學家和我司工作人員討論生物3D打印解決方案

圖B.環亞產品經理Jeff Ye, 介紹Regemat 3D 生物打印技術

圖C. CESB 2019 大會主席張院士關注環亞3D生物打印解決方案
同期展出的 Grundium Ocus 是世界首款便攜式全玻片掃描顯微成像系統,可對生 物材料植入后的生物組織切片(如骨切片等)進行快速的高精度全玻片掃描,自動拼接生成高清數字化大圖。
Ocus具備X,Y,Z 軸自動位移和對焦能力。其內置強勁處理器和數據存儲空間,可通過手機、平板或電腦,無線或有線接入。每個視野獨立多Z軸面自動對焦成像,并自動拼接圖片,減少切片厚度不均對成像的影響。

圖D. Grundium Ocus 抗震,晃動的簡易餐桌也能高清掃描

圖E.與會科學家體驗Grundium Ocus 便攜式數字掃描顯微成像系統

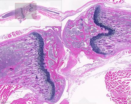
圖F. 會場Grundium Ocus 骨切片快速掃描結果展示
更多詳情請關注:
環亞生物科技有限公司
地址:上海市閔行區友東路358號閔欣大廈1號樓212-213室
電話:021-54583565
網址:www.apgbio.com
郵箱:sales@apgbio.com